Les séquences silencieuses en IRM proposées par les constructeurs sont prometteuses pour améliorer le confort du patient. C’est le cas, par exemple, des séquences « Silent » de GE Healthcare, « Quiet Suite » de Siemens Healthineers, ou du concept « Pianissimo » de Toshiba. Peuvent-elles remplacer les séquences traditionnelles pour l’ensemble des indications cliniques ? Pas toujours, suggère une étude publiée récemment [1] dans American Journal of Roentgenology.
Séquences T1 et d’angio-IRM
L’étude, menée par une équipe canadienne, a cherché à comparer les séquences Silent pondérées en T1 et les séquences Silent d’angio-IRM sans produit de contraste aux séquences conventionnelles. Elle a inclus 40 patients suspectés de métastases cérébrales et 51 patients suspectés de lésions vasculaires ou d’ischémie cérébrale. Les premiers ont passé une IRM pondérée en T1 avec injection, les seconds une angio-IRM intracrânienne sans injection. Des neuroradiologues ont analysé les images à l’aveugle.
Pas de différence significative en T1
Pour les séquences T1 avec injection, la notation est légèrement inférieure avec la technologie Silent activée, sauf en ce qui concerne la confiance diagnostique. Même si davantage de lésions sont détectées sur les images conventionnelles, la différence n’est pas significative, indiquent les auteurs. 48 % des images T1 sont jugées équivalentes. Lorsqu’il y a une préférence, elle s’exprime plus souvent pour les images conventionnelles.
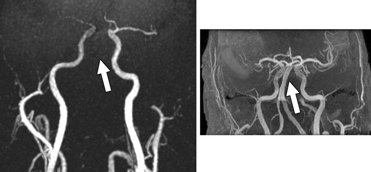
Les séquences conventionnelles préférées en angio-IRM
Pour les séquences d’angio-IRM, les séquences conventionnelles obtiennent une note plus élevée pour toutes les mesures de qualité d’image. Les neuroradiologues préfèrent les séquences conventionnelles dans 69 % des cas, contre 4 % pour les séquences Silent. Dans certains cas, les artefacts sur les images Silent entraînent une diminution du calibre des vaisseaux, des irrégularités et même l’absence de vaisseaux, rapportent les auteurs.
D’autres études montrent l’équivalence de la qualité d’image
D’autres travaux montrent, a contrario, que les séquences silencieuses fournissent une qualité d’image équivalente à celle des séquences classiques. C’est le cas notamment d’une étude parue en 2016 dans le British Journal of Radiology [2]. Elle compare le rapport signal sur bruit, le rapport contraste sur bruit et la qualité d’image entre les deux types de séquences sur une IRM 3 T pour les explorations des troubles cérébraux. Les auteurs concluent que les séquences Silent sont utilisables en 3 T et présentent une qualité d’image comparable à celle produite par les séquences conventionnelles.
Une autre étude de Matsuo-Hagiyama C. et coll. [3], parue en octobre 2016 dans Magnetic Resonance in Medical Sciences, indique également que la qualité d’image diagnostique des séquences à réduction de bruit est acceptable pour les IRM cérébrales chez les enfants, dans le cadre de l’évaluation de la myélinisation.

Discussion
Aucun commentaire
Commenter cet article