Innovation

Gustave Roussy met au point un logiciel d’IA pour la détection du cancer à l’imagerie

Un consortium français a développé DuOnco Unity, un outil d’intelligence artificielle capable d’analyser en 3D l’ensemble des lésions cancéreuses à partir d’un scanner. Cette innovation promet une évaluation plus précise de la charge tumorale, un gain de temps pour les praticiens et un suivi plus efficace de la maladie.

icon réservé aux abonnésArticle réservé aux abonnés
Aujourd'hui à 7:00 Lecture 2 min.

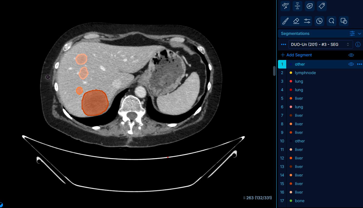
Grâce à un algorithme d’intelligence artificielle entraîné sur près de 287 000 lésions annotées, cet outil est capable de détecter automatiquement, en trois dimensions, toutes les tumeurs et métastases visibles sur un scanner. © Gustave-Roussy

La promesse d'un suivi plus rapide et précis des patients atteints de cancer. Le centre de lutte contre le cancer Gustave-Roussy (Villejuif, 94), le CHU d’Angers, le laboratoire Guerbet et l'entreprise Intrasense ont développé ensemble un outil d’intelligence artificielle capable d’analyser de manière exhaustive les lésions cancéreuses sur des examens de scanner thoraco-abdomino-pelvien. Baptisé DuOnco Unity®, il est présenté dans un communiqué diffusé le 7 avril par Gustave-Roussy.

Une réponse aux limites des méthodes actuelles

Aujourd’hui, l’évaluation de l’efficacité des traitements anticancéreux repose principalement sur les critères RECIST, un standard basé sur la mesure d’un nombre limité de lésions dites « cibles », rappelle le communiqué. Si cette méthode a fait ses preuves, elle présente toutefois des limites importantes, notamment chez les patients avec un grand nombre de métastases réparties sur plusieurs organes.
Dans un contexte où la médecine de précision exige une compréhen

Il vous reste 68% de l’article à lire

Docteur Imago réserve cet article à ses abonnés

S'abonner à l'édition
  • Tous les contenus « abonnés » en illimité
  • Le journal numérique en avant-première
  • Newsletters exclusives, club abonnés

Abonnez-vous !

Docteur Imago en illimité sur desktop, tablette, smartphone, une offre 100% numérique

Offre mensuelle 100 % numérique

23 €

par mois

S’abonner à Docteur Imago

Auteurs

Solenn Duplessy

Voir la fiche de l’auteur

Discussion

Aucun commentaire

Laisser un commentaire

Le fil Docteur Imago

16 Avr

15:41

Mount Sinai est le premier au monde à utiliser le système TheraSphere™ Y-90 « Any Day Dosing », un traitement mini-invasif qui délivre directement des radiations aux tumeurs du foie via le sang. Cette innovation permet de traiter les patients plus rapidement et plus souvent dans la semaine, améliorant ainsi l’accès aux soins et réduisant les délais, annonce un communiqué. 

13:16

Une revue systématique et méta-analyse démontre que la mammographie avec contraste (CEM) présente une très forte valeur prédictive négative pour les asymétries non rehaussées, avec un risque de cancer extrêmement faible. En revanche, la présence de rehaussement est fortement associée à la malignité et permet d’améliorer la stratification du risque.

7:30

Une étude aux Pays-Bas montre qu’un protocole standardisé améliore partiellement la qualité des comptes rendus d’échographie thyroïdienne, mais reste inégalement appliqué. Son efficacité dépend surtout d’une bonne communication et collaboration entre les professionnels de santé.

15 Avr

15:55

Stéphanie Rist, ministre de la Santé, a annoncé le 10 avril que le plafond d’indemnisation des astreintes de nuit et de week-end, initialement fixé à 280 euros, sera porté à 500 euros pour les personnels hospitalo-universitaires.
Docteur Imago

GRATUIT
VOIR