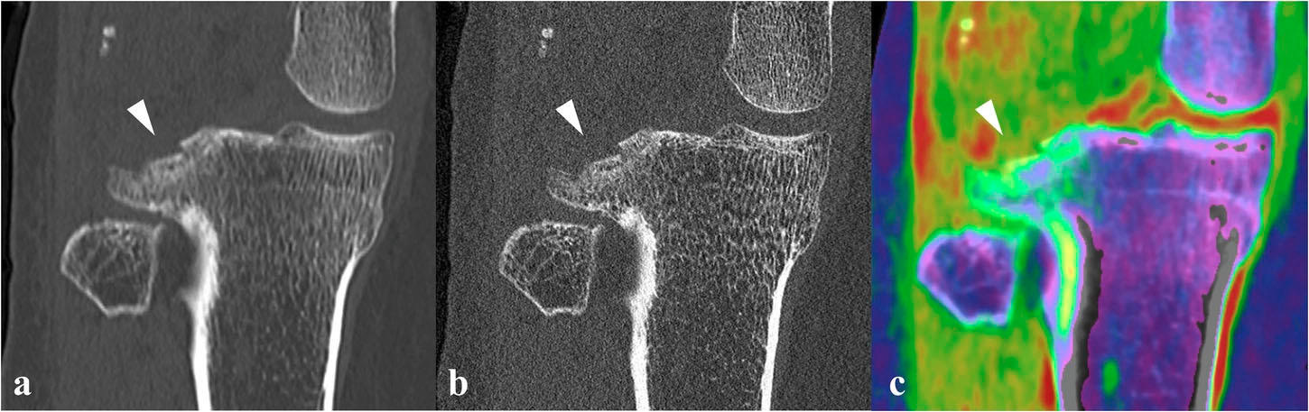
Le scanner à comptage photonique pourrait être une alternative efficace à l’IRM pour l’évaluation des blessures du genou, selon une étude présentée dans European Radiology Experimental [1]. Ses auteurs, chercheurs à l’université de Maastricht, aux Pays-Bas, ont étudié sur fantôme et chez une première patiente, les possibilités de cette nouvelle technologie, qui offre à la fois une résolution supérieure au scanner classique et la possibilité de différencier les tissus grâce à l’imagerie spectrale. « L’IRM est reconnue comme une modalité de référence pour une caractérisation précise des blessures du genou, mais elle n’est pas toujours disponible et peut être contre-indiquée chez certains patients, ce qui rend urgent le besoin de trouver des alternatives », justifient-ils.
Une approche innovante
Pour visualiser la moelle osseuse et les blessures des tissus mous, ils ont adapté une technique basée sur l’image développée pour le scanner double énergie classique. Un algorithme permet de retire

Discussion
Aucun commentaire
Commenter cet article