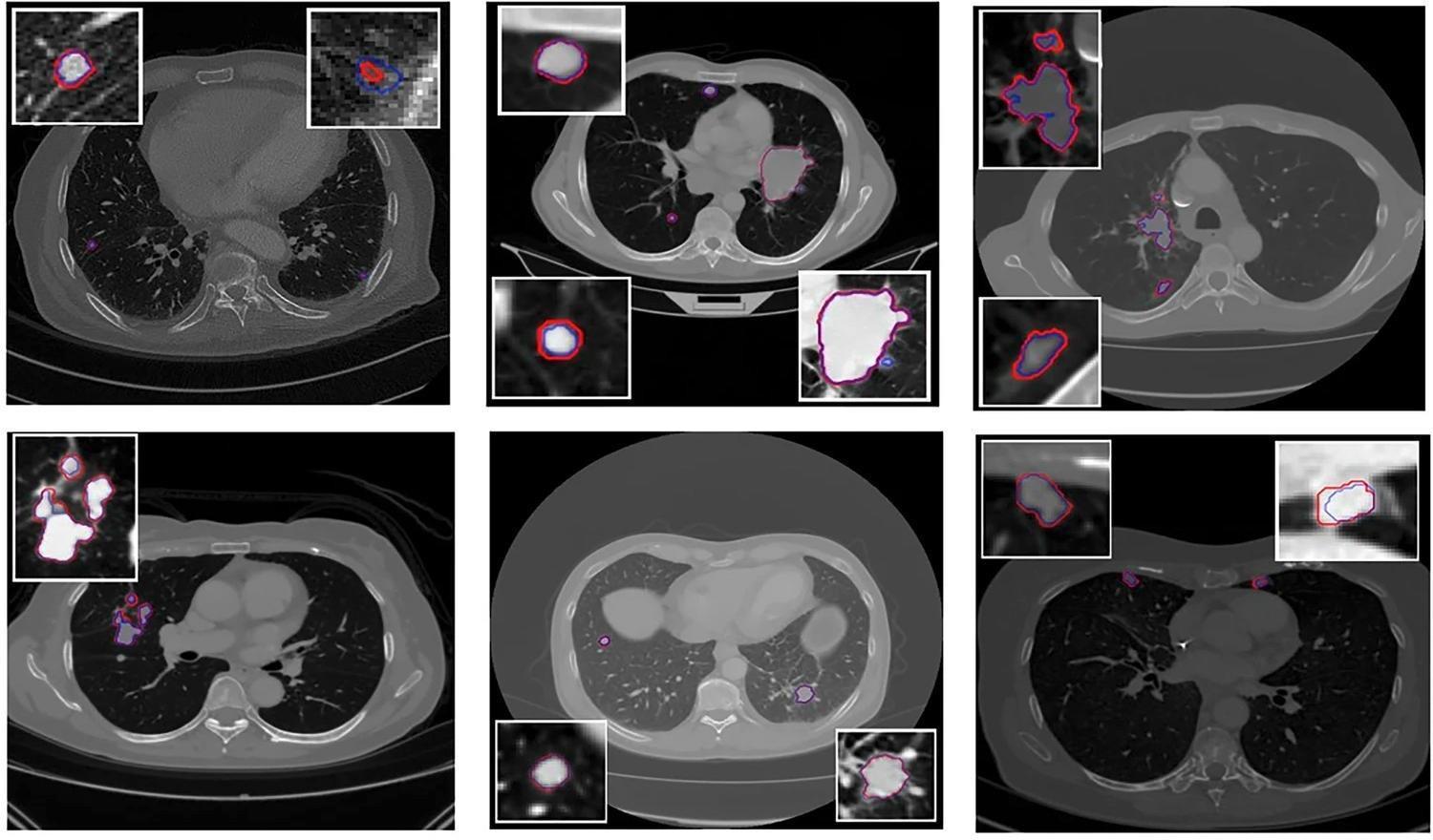
En Espagne, une équipe constituée de chercheurs de l’hôpital universitaire La Fe à Valence et de data scientists de la société d’intelligence artificielle Qibim ont réalisé une étude [1] sur la segmentation des lésions multiples du cancer du poumon. « Une segmentation précise des lésions du cancer du poumon au scanner est essentielle pour un diagnostic précis, une planification thérapeutique personnalisée et une évaluation de la réponse au traitement », rappellent-ils dans leur étude publiée au mois d’août dans la revue European Radiology Experimental. Depuis plusieurs années, des outils automatisés de segmentation des lésions pulmonaires intégrés au flux de travail radiologique ont été développés et étudiés, « mais la capacité à segmenter plusieurs lésions par patient reste sous-explorée », constatent-ils.
1 081 scanners collectés
Dans cette optique de recherche, les scientifiques espagnols ont voulu mettre au point une méthode automatisée basée sur l’apprentissage profond pour la segme

Discussion
Aucun commentaire
Commenter cet article