Journée de sensibilisation à l'endométriose
« Il est essentiel d’apprendre à reconnaître les signes spécifiques de l’endométriose »
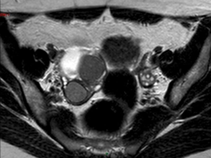
Dans le cadre de mars jaune, le mois de sensibilisation à l’endométriose, l’hôpital Paris-Saint-Joseph (75) a organisé le 6 mars une journée de sensibilisation à l’endométriose, ainsi que d'autres ...
Publié le 02/04/2026
