SEP et épilepsie
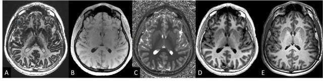
Technique et intérêt des séquences MP2RAGE et MP2RAGE-FLAWS en neuroradiologie clinique
Développées pour obtenir une imagerie T1 homogène et très haute résolution, les séquences MP2RAGE et MP2RAGE-FLAWS s’imposent progressivement comme des outils de référence en neuroradiologie.
Publié le 23/12/2025
