Le 1er décembre, une session du RSNA 2025 présentait la mise à jour du système BI-RADS avant sa publication officielle. Pour cette nouvelle édition, l’outil de classification a fait l’objet de révisions et de modifications en mammographie, échographie, IRM et audit. « Chaque section a subi une révision détaillée, indique Stamatia Destounis, la présidente de la Commission d'imagerie mammaire de l'American College of Radiology (ACR). Nous avons passé en revue la littérature publiée et les consensus d'experts. Ce n’est plus un atlas, désormais c’est un manuel. »
Nouvelles illustrations
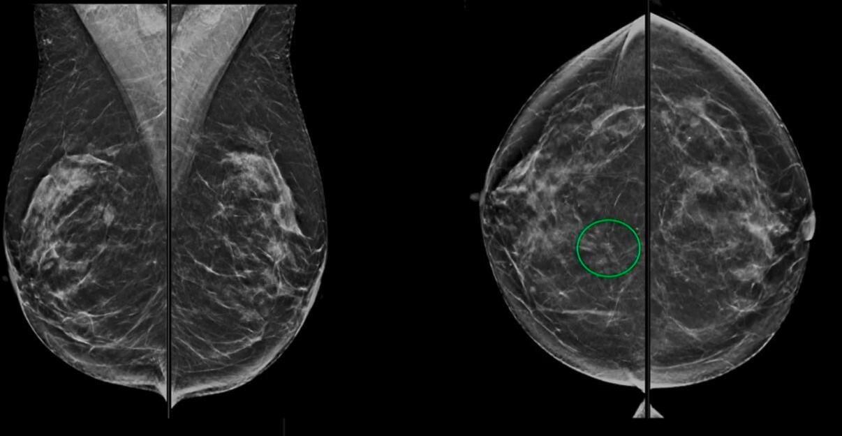
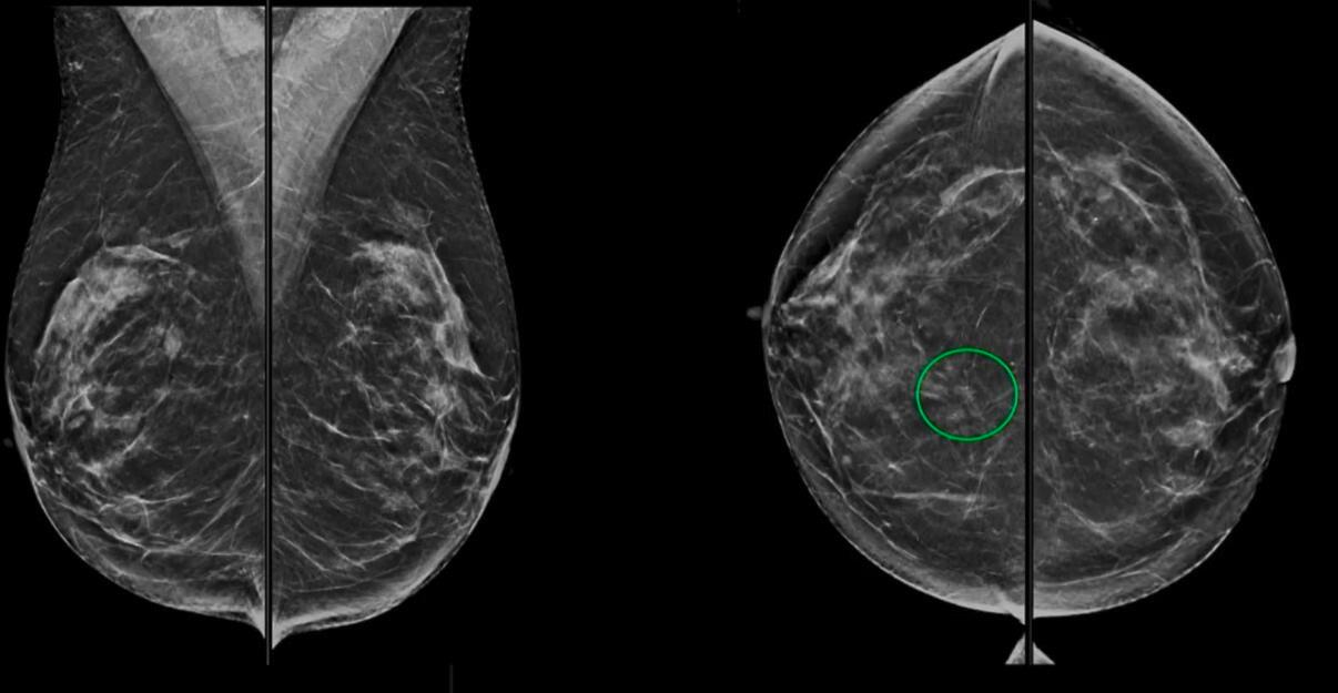
Pour les images mammographiques, le lexique et les illustrations ont été remplacés et élargis. « Les exemples d’images qui incluaient précédemment des clichés de mammographie sur film ont été remplacés par des images de mammographie numérique, de tomosynthèse et de mammographie synthétique », précise l'intervenante.
Une section dédiée à la tomosynthèse
La section sur la tomosynthèse mammaire été ajoutée au chap

Discussion
Aucun commentaire
Commenter cet article