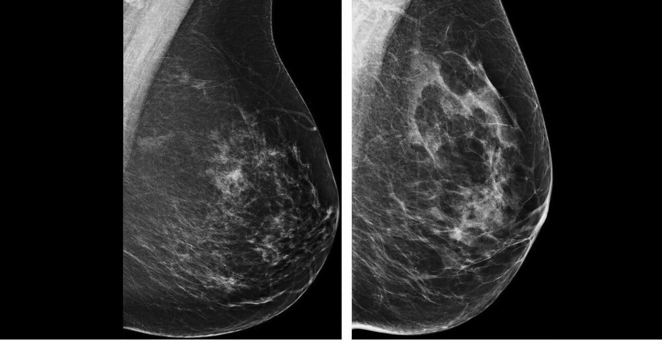
Aux Pays-Bas, des chercheurs de l’hôpital universitaire de Nijmegen ont réalisé une étude pour évaluer la capacité de l'intelligence artificielle (IA) à identifier les cancers du sein cliniquement pertinents, en utilisant les résultats du dépistage par mammographie. Ils ont comparé l’IA en tant que lecteur autonome et en tant que deuxième lecteur avec la lecture humaine unique et la double lecture humaine afin de déterminer l’impact potentiel de ces différentes configurations sur la détection du cancer. Les résultats de leurs travaux ont été publiés au mois d’août dans la revue Lancet Digital Health. [1]
Quatre scénarios
Dans cette étude de cohorte rétrospective, les chercheurs ont inclus 42 236 mammographies de 42 100 femmes ayant participé au programme néerlandais de dépistage du cancer du sein entre le 1er septembre 2016 et le 31 août 2018. Les résultats concernant les cancers détectés étaient disponibles avec un suivi de 4 ans. Pour cette analyse, les images ont été traitées avec le

Discussion
Aucun commentaire
Commenter cet article